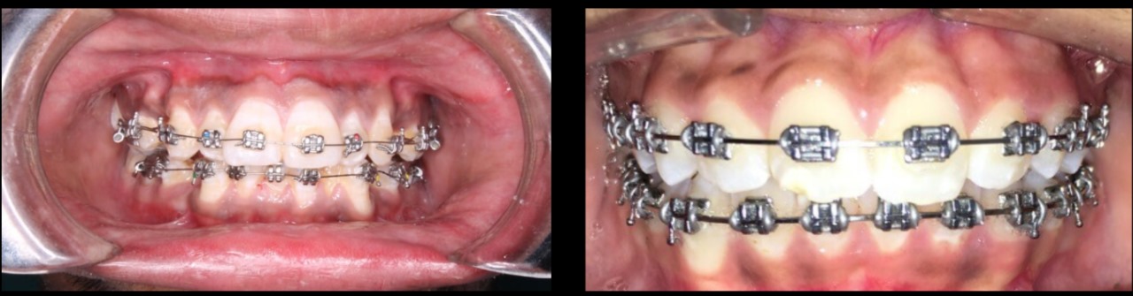
METAL BRACES

  • Metal braces are the most common and traditional way to straighten teeth. They use small metal brackets, which are attached to the front of each tooth, and a thin metal wire that connects them. This wire is carefully adjusted by your orthodontist to move your teeth into the correct position over time.
  • One of the main benefits of metal braces is their strength and durability. They are made from high-quality stainless steel, which makes them resistant to breaking or bending, even when you’re eating. This makes them a reliable choice for many patients, including those with more complex orthodontic needs.
  • Metal braces are also very effective in treating a wide range of dental problems, such as crowded teeth, gaps between teeth, and bite issues like overbite or underbite. They allow orthodontists to make precise adjustments, so they can move teeth into their ideal positions.
  • Many patients like that metal braces can be customized with colored elastic bands, allowing them to choose fun colors or match their school or favorite team. This is especially popular with younger patients who want to make their braces feel more personal.
  • While metal braces are visible, they remain a popular choice because of their affordability and the excellent results they provide. They are also easy to care for — regular brushing and flossing, along with routine orthodontic visits, help keep them clean and working properly.
  • Overall, metal braces continue to be a trusted option for achieving a healthy, beautiful smile. If you’re looking for a reliable and effective way to straighten your teeth, metal braces might be the perfect solution for you.